Skip Menu
85 High Street, Suite 6, Waldorf, MD 20602
Logo
  • Home
  • About Us
    • Our Office
    • Our Community
    • New Patients
    • Smile Gallery
    • Dental Videos
    • Testimonials
  • Our Doctor
    • Preetinder Kaur Aulakh, DDS
  • Services
      • Ceramic Crowns
      • Dental Bridges
      • Dental Cleanings
      • Dental Fillings
      • Dentures
      • Emergency Treatment
      • Extractions
      • Implant Dentistry
      • Invisalign®
      • Oral Cancer Screening
      • Oral Exams
      • Pediatric Dentistry
      • Periodontal Treatment
      • Root Canals
      • Teeth Whitening
      • Veneers
    • View All
  • Dental Health
  • Contact
    • Contact Us
    • Request Appointment
  • Patient Registration

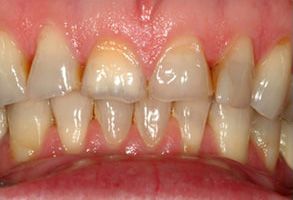
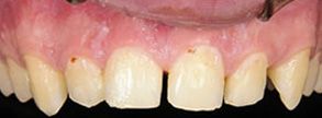
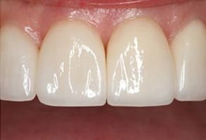
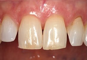
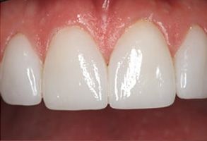
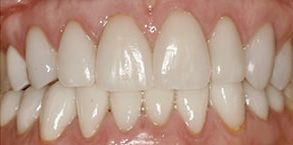
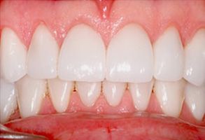
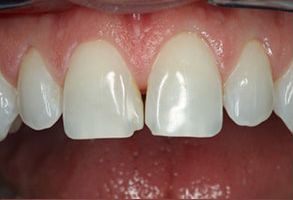
Smile Gallery

Additional Information

Our Location

85 High Street
Suite 6
Waldorf, MD 20602
(301) 861-0656

Follow Us

Don't wait. Book an Appointment Now!

With a quick phone call or form submission you could be on your way to a brighter, healthier smile. Click the button below to begin your journey.

Request an Appointment